
분야별 개인 케어로 특화된 치료 시스템으로
환자분들의 안전한 진료와 만족감을 높이기 위해 항상 노력합니다.
엄지발가락이 원래 위치에서 새끼발가락 방향으로 휘어지면서 통증을 유발하는 질환입니다.

엄지발가락이 둘째발가락 쪽으로 휘어짐
엄지발가락 관절이 안쪽으로 돌출
돌출된 부위에 굳은살이 생기고 통증 발생
걸을 때 불편함
발 모양의 변형
Seoul Pil Hospital
• 넓고 편안한 신발 착용
• 깔창이나 교정기를 사용하여 발에 가해지는 부담을 줄임
• 약물 치료 (소염진통제 등)
• 물리치료

2mm정도의 미세 절개를 통해 주변 조직을 손상시키지 않고
뼈를 절골해 휘어진 발가락을 교정하는 수술

무지외반증으로 인해 통증이 심한 경우
보존적인 치료에도 불구하고 증상이 호전되지 않는 경우
젊고 활동적인 사람
최소한의 침습을 원하는 경우
최소한의 절개 작은 구멍을 통해 수술이 이루어지므로 흉터가 적고 회복이 빠릅니다.
통증 감소 절개 부위가 작아 수술 후 통증이 적고, 빠른 일상생활 복귀가 가능합니다.
출혈 감소 출혈량이 적어 수혈 가능성이 낮습니다.
빠른 회복 수술 후 짧은 기간 내에 보행이 가능하며, 일상생활 복귀가 빠릅니다.
정확한 교정 실시간 영상 장치를 이용하여 뼈를 정확하게 절단하고 교정하기 때문에 재발률이 낮습니다.

발바닥 아치를 지지하는 족저근막이 반복적인 스트레스로 인해 염증이 생기는 질환입니다.

발뒤꿈치 통증 특히 아침에 첫 발을 디딜 때 통증이 심하고, 움직이면서 점차 완화되는 경우가 많습니다.
발바닥 전체 통증 발바닥 전체에 뻐근하고 아픈 느낌이 들 수 있습니다.
걷기 힘듦 통증 때문에 걷기가 불편하고 절뚝거리게 될 수 있습니다.
Seoul Pil Hospital
발목을 자주 접지르면 발목 인대와 연골도 함께 손상을 받습니다. 심한 경우 만성적인 불안정성이나
관절염으로까지 진행될 수 있어 초기에 전문 족부센터에서의 정확한 치료와 재활이 필요합니다.

발목을 접질리거나 사고 또는 외상에 의해 인대가 손상 혹은 파열 되는 증상입니다. 심한 경우 만성적인 불안정성이나
관절염으로까지 진행될 수 있어 초기에 전문 족부센터에서의 정확한 치료와 재활이 필요합니다.

발목의 유연함을 돕는 연골이 다양한 원인으로 인해 떨어져 나간 상태를 말합니다.
움직일 때마다 뼈와 조직이 병변부위와 함께 부딪히며 통증이 발생합니다.
발목 부종
발목 소리
발목 불편감
발목 통증 부위를 누르면 통증 발생
과도한 관절 사용
: 스포츠 외상, 과체중, 접지름
(헛디딤)등으로 인해 발생
반복되는 염좌
외상
문진 / 내진 / 촉진
전문의의 정확한 진료를 통해 환자의 상태에 맞는 치료법을
체계적으로 적용해야합니다.
MRI검사 / 관절내시경 / X-ray를 통해 정확한 검사를 진행합니다.
Seoul Pil Hospital
파열된 인대 주변에 뼈 조각이 없는 경우
관절경적 발목 인대 봉합 수술을 진행합니다.
3mm 초소형 관절경을 이용해 수술하므로
흉터와 조직손상도를 최소화하는 장점이 있습니다.
수술시간 약 30분. 1~2일, 길면 2~3일의 입원 기간 목표
통깁스3주 착용. 빠른 재활이 목표
가벼운 마취 상태에서 다친 인대를 봉합하여 복원하는 것이
목표입니다. 인대가 심하게 파열된 경우 또는 반복된 손상으로
발목 불안정성을 호소하는 경우에, 보존적·비수술적 치료에도
효과가 없을 시 수술을 진행합니다.
수술시간 약 30분. 1~2일, 길면 2~3일의 입원 기간 목표
통깁스3주 착용. 빠른 재활이 목표
연골 손상의 범위가 크지 않을 때 시행되는 치료로,
3mm 미만의 절개로 관절경을 삽입하여
육안으로 관절 내부를 확인하면서 진행합니다.
통증부위 아래쪽 골수를 자극하여 연골 세포의 재생을
유도하는 줄기 세포를 활용한 수술입니다.
수술시간 약 1시간. 1~2일, 길면 2~3일의 입원 기간 목표
최소 절개, 최소 흉터
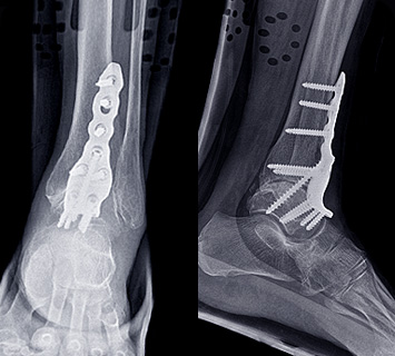
이 수술은 틀어진 발목을 바로잡아 통증을 감소시키고
관절의 부담을 덜어주는 것을 목표로 합니다.
발목 연골 한쪽만 닳아 발생하는 발의 기울어짐을 교정하고,
손상된 연골 부위의 압력을 줄여주기 위해 체중이 정상적인
연골 부위로 분산되도록 축을 이동시키는 수술법입니다.
수술시간 약 1시간
발목 압력 해소 기대
아킬레스건염은 아킬레스건에 염증이 발생하는 것으로, 주로 발목 통증이나 부종 증상을 보입니다.

무리한 사용 및 과부하
달리기나 점프 등 아킬레스건을
무리하게 사용하며 지속적이고
반복적인 스트레스를 주는 경우
선천적/신체적 요인
발 뒤꿈치 변형이 생기거나
선천적으로 발바닥의
아치 부분이 높은 경우
생활습관/외부요인
딱딱한 신발을 착용하거나
스트레스로 인하여
근육이 수축되는 경우
주요 증상은 발목의 부기와 통증
발목 중앙 부위와 발 뒤꿈치 뼈 부위에서 통증
주로 아침에 첫 발을 디딜때 가장 심함
오래 걸을 때 악화되는 경향
신발이 닿는 곳과 발 뒤꿈치에도 통증이 느껴짐
문진 / 내진 / 촉진
전문의의 정확한 진료를 통해 환자의 상태에 맞는 치료법을
체계적으로 적용해야합니다.
MRI검사 / 관절내시경 / X-ray를 통해 정확한 검사를 진행합니다.
Seoul Pil Hospital
아킬레스건염은 활동 조절을 통해 치료하는 것이 중요합니다.
서울필병원 족부센터는 신발 교정, 스트레칭, 주사치료, 초음파 치료, 체외충격파 치료, 물리치료, 운동치료 등
체계적인 보존적 치료를 갖추고 있습니다. 만약 통증이 지속될 경우수술적 치료가 필요할 수도 있습니다.
염증이 생긴 아킬레스건염에 미치는 압력을 감소시키기 위해
뒷굽이 2~3cm 높은 치료용 1:1 맞춤형 깔창을 착용하여
하중을 분산시켜야 합니다.

발목관절염은 발목 뼈를 보호하는 연골이 점차 닳아서 통증과 부종을 유발하는 질환입니다. 약물치료,
주사치료, 물리치료 등 발목관절염 초기에는 보존적 치료가 가능하지만 심한경우 관절내시경, 발목고정술,
인공관절 수술이 필요할 수 있습니다.

골절과 같은
외상적 요인
발목을 자주 접질리는 등
연골의 손상을 유발하는
반복적인 충격
나이가 들면서 발생하는
퇴행성 변화
발목이 아프고 붓는다.
발목이 불안정하다.
발목 관절의 운동 범위가 감소하고 뻣뻣하게 굳는다.
관절 깊은 곳에서 통증이 느껴진다.
문진 / 내진 / 촉진
전문의의 정확한 진료를 통해 환자의 상태에 맞는 치료법을
체계적으로 적용해야합니다.
MRI검사 / 관절내시경 / X-ray를 통해 정확한 검사를 진행합니다.
Seoul Pil Hospital
증상이 심하지 않은 경우 약물치료나 물리치료로 증상을 호전시킬 수 있으며
이러한 치료로 호전되지 않을 경우 비수술/수술적 치료를 시행합니다.
관절내시경
발목교정술
발목고정술
인공관절 수술
서울필병원의 6가지 특별함